ACCUEIL
LA CLINIQUE EN IMAGES
IMPLANTOLOGIE
ACCÈS
URGENCES
FICHES CONSEILS
VIDÉOS
NOUS CONTACTER OU PRENDRE RDV
ENGLISH
FACEBOOK
CLINIQUE DENTAIRE MIRABEAU
Dr Frédéric Strimon - Chirurgien Dentiste - Implantologie & Parodontie exclusives
Appeler
Localisation
5 rue Martial Montagne, 84120 MIRABEAU
+33 4 90 77 06 27
Afficher le téléphone
CLINIQUE DENTAIRE MIRABEAU
Dr Frédéric Strimon - Chirurgien Dentiste - Implantologie & Parodontie exclusives
ACCUEIL
LA CLINIQUE EN IMAGES
IMPLANTOLOGIE
ACCÈS
URGENCES
FICHES CONSEILS
VIDÉOS
NOUS CONTACTER OU PRENDRE RDV
ENGLISH
FACEBOOK
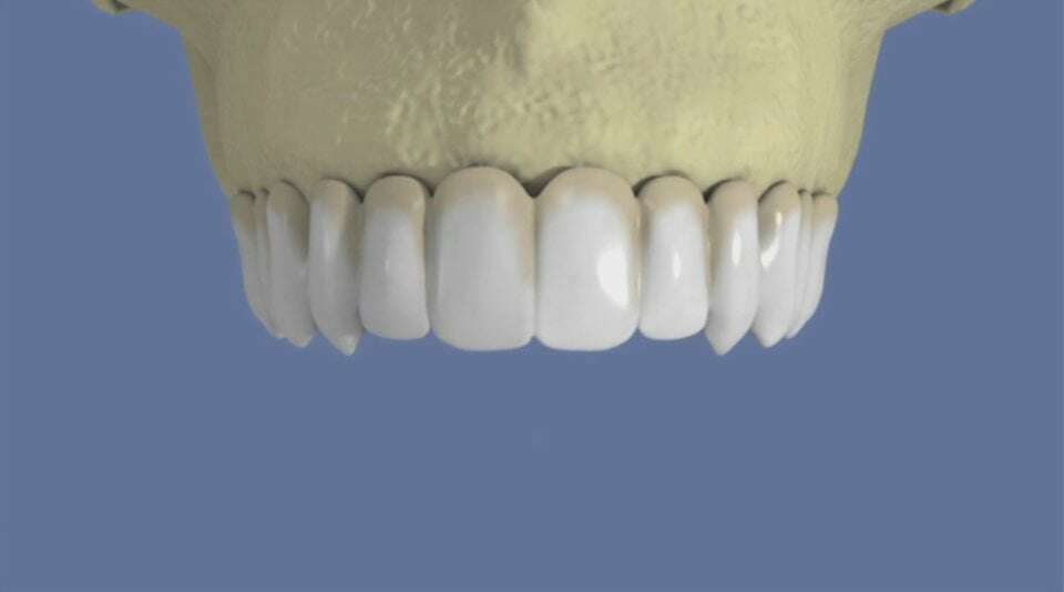
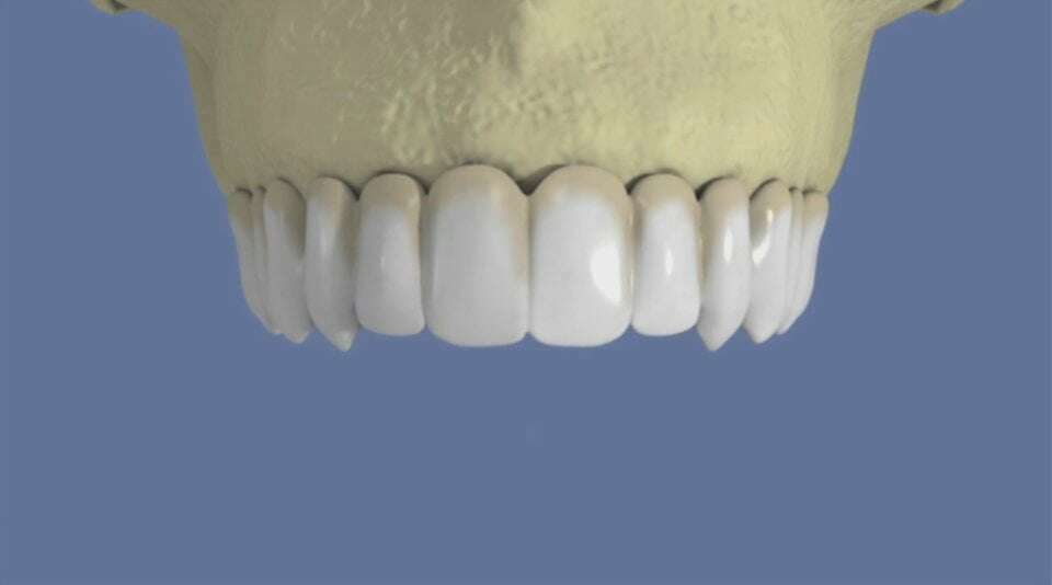
Maxillaire : bridge vissé sans fausse gencive
Vidéos 3D
Partager
Twitter
Partager
Partager
Envoyer
Copier
CLINIQUE DENTAIRE MIRABEAU
Politique de confidentialité et charte cookie
Mentions légales
Conditions Générales Utilisation
Charte déontologique
Ordre national
Annuaires chirurgiens dentistes
Hygiène & Asepsie
Honoraires & Remboursement
Rechercher
Création par
Connexion
Vidéo en cours de lecture